불편함, 건조함, 재발성 감염 등을 경험했지만 그 이유를 전혀 알아내지 못한 적이 있나요?
당신은 혼자가 아닙니다.
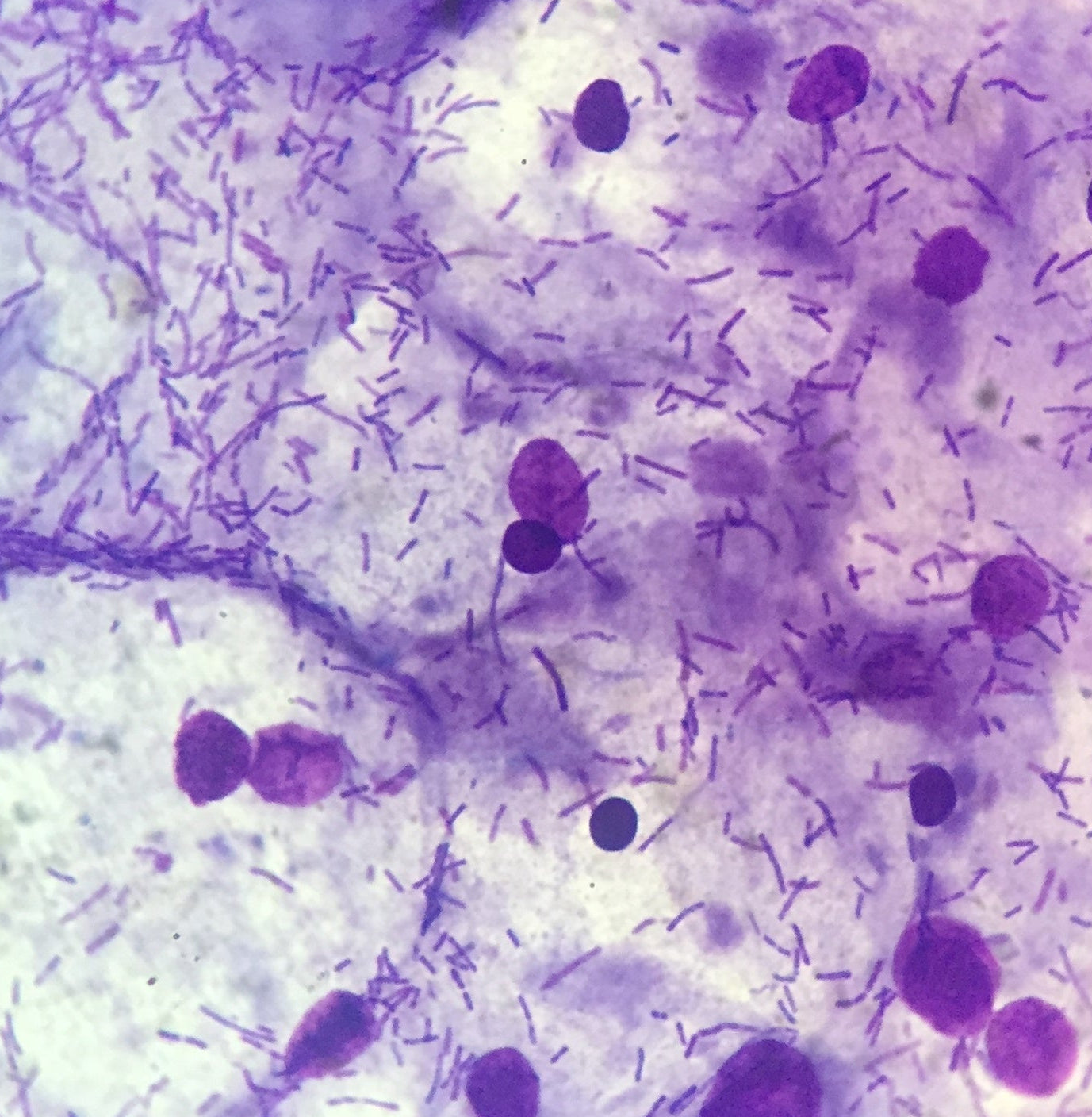
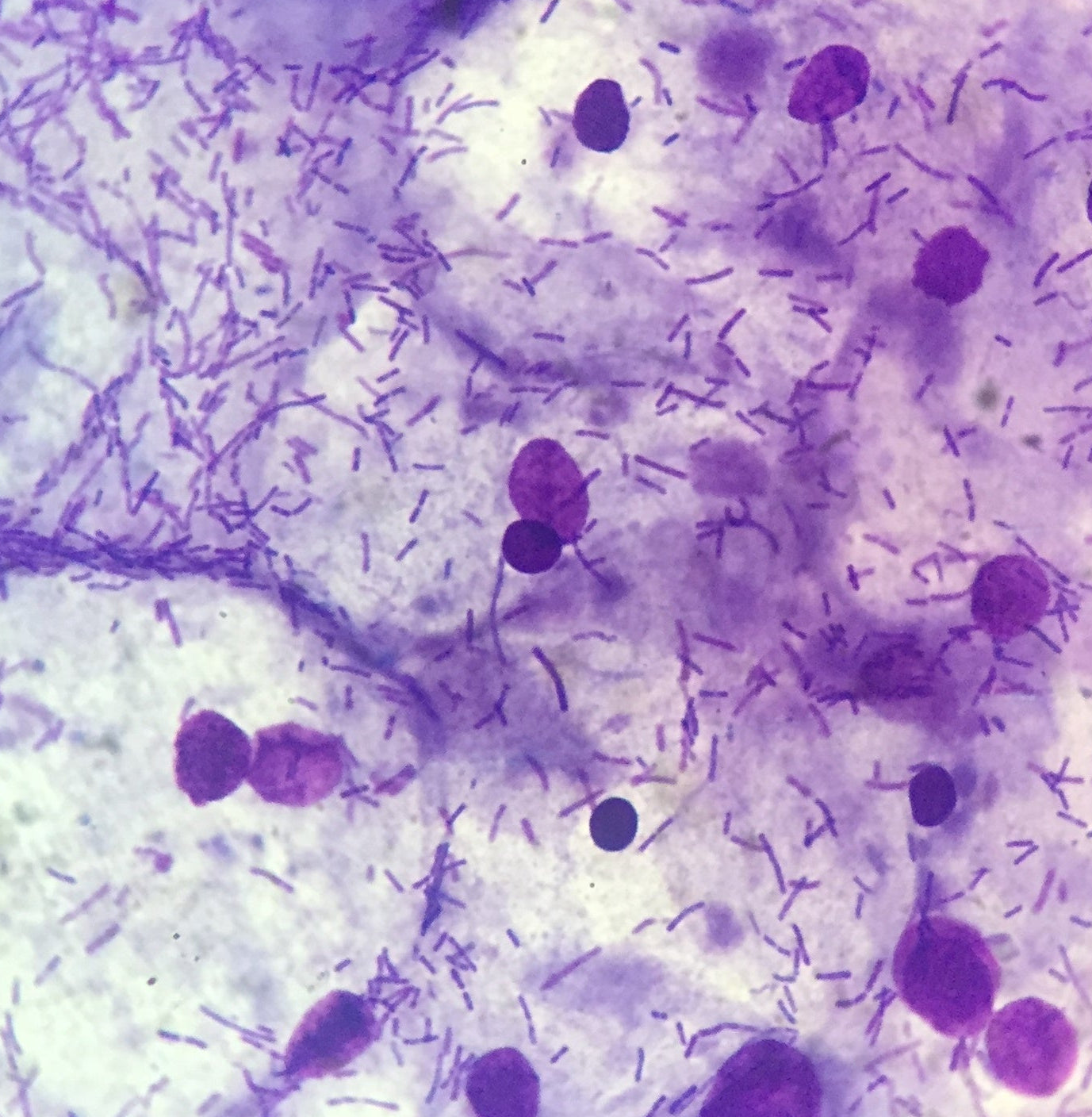
많은 여성들이 이러한 증상을 경험하지만 , 근본 원인은 종종 질 내 미생물총 불균형에 있다는 사실을 인지하지 못합니다. 이 보이지 않는 생태계는 매일 당신을 조용히 보호합니다. 건강할 때는 편안함, pH 균형, 유해 박테리아에 대한 방어력을 유지합니다. 하지만 이 생태계가 무너지면 작은 변화조차도 전반적인 건강에 영향을 미칠 수 있습니다.
Phenome Longevity에서는 이 주제에 대한 논의를 확대하고 과학, 인식, 테스트를 통해 여성에게 필요한 명확성을 제공할 때가 되었다고 믿습니다.






























